本文5400字,阅读15分钟。
粒子当然是无意识的,海森堡不确定性原理就可以进行解释。
但是不确定性的微观物质到宏观的过程中,发生退相干,变成了确定性的。
虽然量子力学告知你,构成你身体的物质,有极低的概率在一瞬间出目前月球上。但经典力学告知你,这是不可能的,这就由于你身体中的粒子与集体自由度耦纠缠了起来,波函数坍塌了[1]。
从量子力学的角度解释意识,实则是一个热门的方案。
去年(2020年)因发现黑洞的形成是广义相对论的有力预测,而获得诺贝尔物理学奖的著名物理学家彭罗斯,就热衷于用量子力学解释意识。

在他的眼里,意识是通过量子纠缠和量子叠加产生的。
他的逻辑推理如下:
哥德尔不完备定理:一套公理体系中,必然有无法被证明的真理。
▼
人类数学家能理解无法被证明的真理。
▼
人类意识,超出公理之外。
▼
所以这是源于大脑内波函数的坍缩,人的意识是量子力学决定的。
也有一些物理学家尝试通过弦理论来解释意识。
当彭罗斯这样的观念,在科学界也引起了极大的争议,甚至出现了诸多反对的声音。
这里我不进行过多的探讨,毕竟这本身只是彭罗斯一个不成熟的猜想,而且在他的研究领域之外。不过,国内却热衷于这种形而上的研究,甚至成了哲学系某领域的硕士论文,有兴趣翻翻的见参考文献[2]。
但无论用量子力学解释意识,还是用弦理论来解释意识,无异于都是把人类意识的解释进行了拔高。
这属于人类的自负。
我不敢妄言彭罗斯是错误的,但人类对于宇宙本源来说,还是太渺小了。
从神经科学的角度来说,我们的神经信号传输,都是有确定需求的。
例如,当你看到一幅秀丽的画,你看到的信息,通过视锥细胞、视觉受体,转化成电信号,然后一直传递到你的视觉中枢,这些信息的表达都是准确的,所以你才能明确它的构图、线条,以及颜色。
相反,当你大脑内的信号传递变得不准确之后,你可能会眼花、眩晕,甚至出现错觉,看到从未出现的画面。
又或者,当多巴胺的神经通路出现异常,你可能会发生精神分裂症,出现幻觉、妄想等认知缺陷。
除此之外,莫名其妙的偏头痛,除了2/3是由于动脉搏动外,还有1/3是十分复杂的神经机制,例如脑膜血管内的离子变化,脑干神经核功能异常等,本质上是离子通道和神经信号通路出现了异常。
另外,有大约30%的人会遇到强光打喷嚏。从神经科学的角度来说,最可能的缘由是,控制头面部感觉和运动的三叉神经与视觉神经是紧紧挨在一起的,它们之间有可能存在交叉反应。
当外界的强光突然进入视网膜时,瞳孔会快速收缩,触发视神经反射,这些神经信号可能会错误地传到三叉神经上,并让大脑大脑发出了错误的打喷嚏指令,于是便引起了“光喷嚏反射”的发生。
- 这个反射是可以遗传的,如果父母中的一方存在光喷嚏反射,那么也有50%的可能发生在孩子的身上。
综上,无论我们大脑的信息感知、信号处理、以及对外的行为,都需要神经通路和信号的准确性。
那么,准确的神经通路,是如何变成复杂的意识的呢?
回答这个问题前,我们先来看看,意识究竟是什么。
人类判断意识的方法,最经典的是镜子测试:
在早先的研究中,人们发现瓶鼻海豚、喜鹊、类人猿,以及大象能够通过镜子测试。这些都是十分机智的动物,而且看起来也很有自我意识,人们便理所当然地认为它们是有意识的。
后来发现猫、狗、章鱼,这些看起来很机智的动物,都不能通过镜子测试。似乎,这说明了它们没有意识。
但后来的研究,就很明显有些被打脸了。
在印度太平洋区域,有一种叫做裂唇鱼的鱼类,因会协助其他大型的鱼类清理寄生虫,所以又被称为“医生鱼”。
2019年初的一份研究表明,裂唇鱼是能通过镜子测试的[3]。

甚至在2015年,还有一份研究声称,蚂蚁也能通过镜子测试[4]:

虽然蚂蚁的镜子测试,具有必定的争议性。
但从人一直到裂唇鱼,我们不难发现,凡是能通过镜子测试的,无一例外,全部都是群居动物。
而群居动物,具有很强的社会性,它们在族群个体互动的过程中,很有必要分清楚每个个体的身份。
在区分其它成员的过程中,自我的认识也就有了形成的基础。
但人类单纯通过镜子测试来进行判断,实则是有问题的。
我们假设有同样机智的两种动物,动物A的自我认知有利于通过镜子测试,动物B的自我认知不利于通过镜子测试。
那么人类以镜子测试判断动物是否有自我认知,以及判断哪个动物更机智时。
直接就会先入为主地判断:
- A有自我意识,并且更机智。
- B没有自我认识,没有A机智。
但很明显,对于B的判断,很有可能是错误的。
而现实中也有一个例子,狗虽然并不能通过镜子测试,但也有研究表明,犬类能通过气味进行身份的辨别。
通过镜子测试,对意识下了一个武断结论,正是反应了人类的自负。
即便我们不探讨,乌鸦这种没啥新皮层还十分机智的动物,我们单纯从哺乳动物新皮层发育的角度来说:

意识,不会突然出现,从老鼠到人类,新皮层不断发展和复杂的过程中。
很有可能早就存在了意识。
我们假设老鼠的分数是1分,人类是100分,那么不能通过镜子测试的猕猴,他的意识可能是59分,而不是零分。
如果说许多时候,我们判断低等动物是否存在意识时,往往在于我们对意识本身的定义。但实则,我们真正关心的,并不是意识的定义,而是这个从1到100的过程。
那么,意识又是怎么从1到100呢?
在脑电领域有一个脑熵(Brain Entropy,BEN)的概念,它表明大脑系统不规则性和信息处理能力。
人类大脑,往往处于处于活跃的波动状态,熵脑代表的大脑传输信息的能力,也指大脑可以访问的神经状态的数量。
人类大脑的熵,有这些特点:
1、脑熵和意识有着高度关联性。
2、人类大脑的熵大于其他动物(这里不是指混乱度,而是信息总量)。
3、一般情况下,智力更高的人脑熵更高(同上)。
4、人在迷幻状态、快速眼动、精神病发作,以及睡梦癫痫时,表现为熵增。(信息混乱度)
智力更高的人熵更高,这是由于大脑处理信息更多。
精神病人熵更高,则是由于处理的信息更加的混乱。
可以这样说,一样熵高的人,一个人可能是爱因斯坦,一个人却可能是精神病。
迷幻状态下,人会表现出必定的“初级意识”。
例如当你起夜下意识地上厕所,别人叫了你一声,你回应了,但第二天起床,你却什么都记不得。
这就是一种“初级意识”。
人从初级意识的熵增混乱状态,渐渐清醒之后,人的脑熵会表现出一种亚临界状态。
在这个亚临界状态中,我们会表现出足够清醒的意识。
1岁左右的婴儿便有初级意识的表现,而1岁的婴儿表现能力,极有可能比不过同龄的猩猩。(主要缘由在于人类婴儿更早产,且性成熟周期更长)
人的心智,拥有自我维护次级意识的能力,能够完善对客观的反应,表现出更加的有序化,大脑从而表现出熵减[5]。(也可以认为是有序化程度更高,所以表达同样的信息量时,所需要的附加信息反而更少了)。
总的来说,人的次级意识,取决于大脑组织的连贯性、分层结构,以及系统的处理能力。
人的大脑总是维持在秩序和混乱之间,并保持着严格的平衡。
当人处在次级意识的状态下时,处理外界信息则不那么细致,极易受到情绪、偏见、焦虑,以及欲望的而影响。
人类大脑在进化过程中,拥有了把熵控制在亚临界点的能力,这有助于促进现实主义、远见、仔细思考,以及识别和克服一厢情愿、执幻想的能力。
当然,克制次级意识的过程,也限制了意识拓展空间。
例如,成年人的大脑,相比起儿童的大脑,总是欠缺想象力。当然,成年人大脑处理信息的总能力更高,脑熵自然也更高。
当次级意识被抑制的时候,初级意识就会表现得更为活跃。
一般来说,25岁,是人脑熵的巅峰,信息处理能力也达到了巅峰。
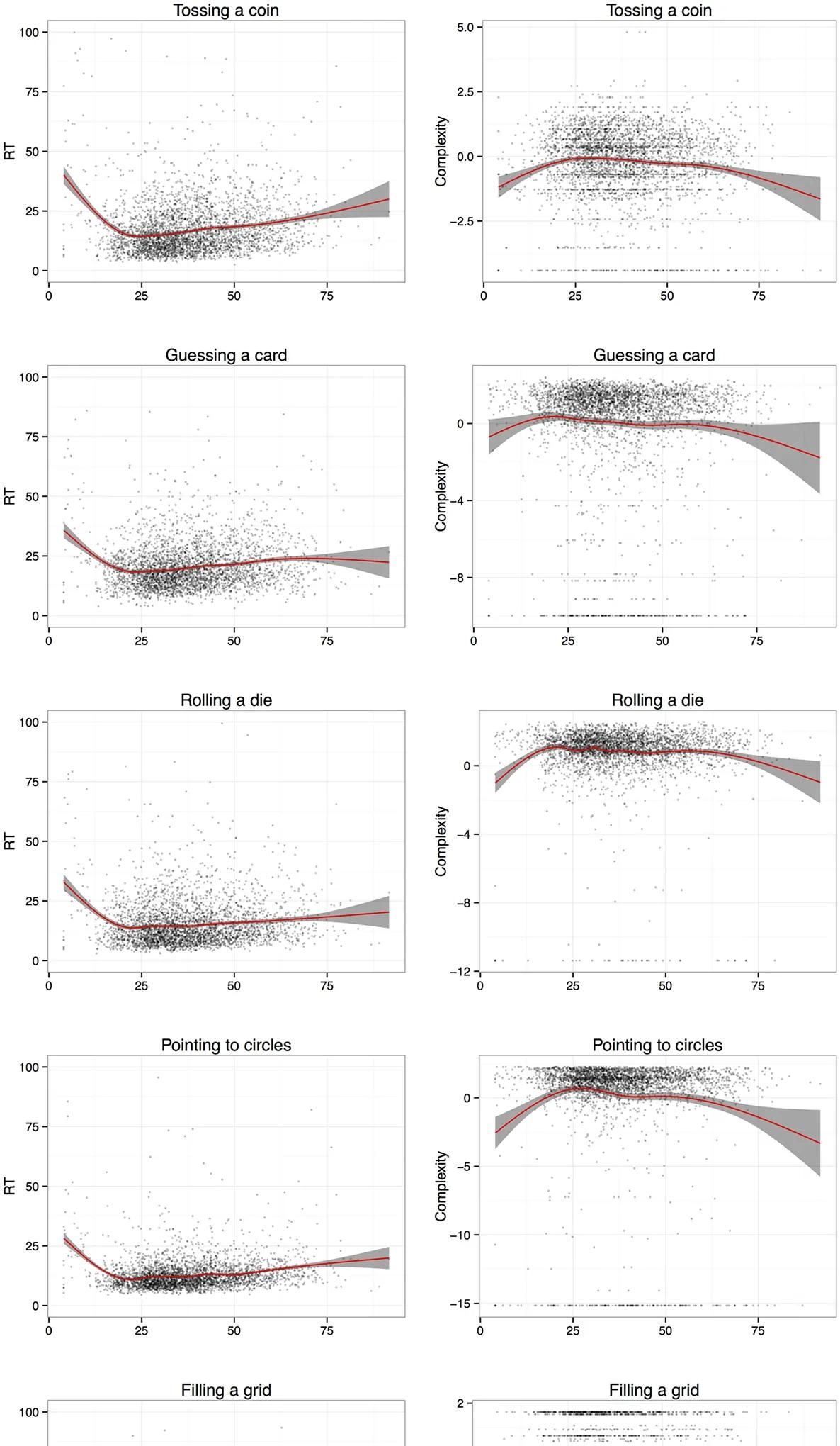
在模拟扔硬币、挑选卡片、投骰子、选择九个圆中的一个、网格上填涂等各类行为下,不同年龄段的脑熵[6]:

该实验显示,人类处理信息的能力,在25岁左右最高,主要聚焦在中青年阶段。
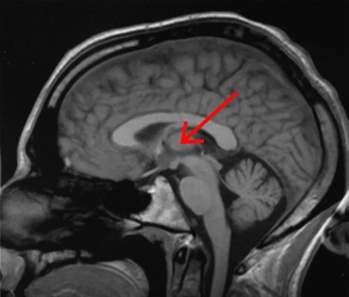
虽然意识的诞生过程,尚且停在假说阶段,但研究人员极有可能已经找到了意识的开关——中央外侧丘脑。

威斯康星大学麦迪逊分校的研究人员发现,使用50 Hz电刺激中央外侧丘脑时,处于麻醉状态的猕猴能够苏醒,并出现正常的清醒行为。
猴子睁开眼睛,生命体征出现变化,面部和身体开始运动,并伸手去拿附近的物体。
不过,关闭电刺激之后,仅仅几秒钟,猴子便会再次闭上眼睛,回到无意识的状态。
上述实验,必须超级精准才能实现。
50 Hz的电脉冲,只能点击仅仅20纳米的特定位置。

这表明,中央外侧丘脑对意识具有必定的启动作用。
但这个实验,是否可以证明,意识也如同运动、感觉、视觉等中枢皮层有着明显的区域功能呢?
那倒是未必。
积水性无脑畸形儿童,是一种先天性疾病,一般表现为两侧大脑半球缺如(缺少大脑皮层),被薄襄所取代,里面充满脑脊液。除了大脑皮层之外,患儿的脑干、小脑,脑膜健全,有的可能会残存必定的颞叶、枕叶,或额叶。
这些儿童虽然往往早夭,但大多能表现出意识活动。
这足以说明,虽然大脑皮层对意识具有重大的决定作用,但大脑皮层也绝对不是意识产生的必须条件。
从这一条来说,判断没有大脑皮层的更“低等”的动物不会产生意识的推论,也并不成立。
虽然鸟类也有大脑皮层,但实际鸟类的“意识”可以不通过大脑皮层而出现。[7]
种种迹象表明,意识的诞生,可能和大脑的整体活动有关。
虽然早期的大脑研究,倾向于分区研究。但学界早就发现了多种神经元耦合体系,并诞生了一门专门的学科-神经元耦合系统的同步动力学。
随着EEG(脑电图,electroencephalo-graph)、核磁共振成像(MRI) 、正电子断层扫描(PET)的飞速发展。近年来,已经发现了大脑间不同区域的跨频耦合网络,以及全脑神经元和神经递质系统的动态耦合。[8]

这些研究表明,大脑在分工协作的同时,也有极强的整体性。
人类的额叶大部分、顶叶、枕叶,以及颞叶皮层称为联合区,这些区域都能够接受多通道的感觉信号,把各个功能区域的神经活动整合在一起。
人类的左右大脑,有90%都属于联合系统。
当大脑左右脑之间的胼胝体断掉,左右脑的意识一开始会出现混乱。
左右大脑会存在有各自的活动,协作消失,真一心二用。

左手画圆,右手画方,对于裂脑人来说,是轻而易举的事情。
但由于左右脑思维不统一,裂脑人的诸多行为,往往表现出难以控制,甚至会出现右脑控制左手攻击人的现象:

此动图应该来源于电影场景,真实情况不会如此夸张,手并非不能被意识控制
人常常会产生疯狂的一闪念。
这种闪念,往往由右脑控制(人的情感冲动)。正常情况下,左右脑连接,主管思维逻辑的左脑,会在发生神经信号之前,及时阻止右脑的策略。当左右脑尚且链接的时候,充满矛盾的策略,往往只会保留一个。
但对于裂脑人来说,两个策略可能同时保留。
例如正常人,大脑出现自残的一闪念时,另一半大脑直接就阻止了,不会再发生什么。
但是对于裂脑人来说,阻止则会发生在行动之后。[9]
“我”的意识,本身就是左右半球大脑的二位一体。
当然,由于大脑还能通过其他部分连接,对于裂脑人来说,意识还是整体的,而非真正的分裂。
人在进行理智与情感的纠结犹豫时,何尝不是左右大脑的一场场较量。
那么,你常常是左脑胜,还是右脑胜呢?
当然,大脑也具有非凡的适应能力,并不是所有裂脑人都会有严重的生活影响。
胼胝体缺如的儿童,大脑会通过其他脑区重新分配信号,例如通过中脑和前脑之间的沟通,保证左右脑之间的交流。虽然没有胼胝体,大脑功能只是小有所影响,但这充分展示了大脑的可塑性。[10]
从一些挖掉脑组织,以及枪击头部存活下来,失去不少脑组织,甚至有失去了半个脑袋,但意识没有受到太大影响的案例。[11]
可以看出,大脑的可塑性,远非普通人想象。
而这种可塑性,绝非大脑功能分区所能解释的。
新皮层虽然仅仅只有薄薄的三毫米,却有六层结构:

为了处理各种复杂的信息,人类新皮层形成了不同的区域,这些区域主要归类为三个区:初级感觉区、初级运动区,以及联络区:

感觉区包括:听觉、视觉、躯体感觉等等;人类同时还具有专门的语言区,有时候又把语言区归为联络区的一部分
初级感觉区和初级运动区的神经细胞高度特异性,直接接受感受器的神经信号,并与枕叶、颞叶、中央前后回相联系,形成相应的联络区。
大脑皮层的初级反射活动,是绝大部分哺乳动物都具备的,但低等哺乳动物的联络区并不发达,它们的意识主要以初级意识为主。
灵长总目这一支,演化到猿类之后,皮层联络区才开始飞速发展,有了形成高级意识的基础。
除了语言区外,联络区还包括:
- 对自我身体见解、信念和以及情感态度相关的顶枕联络区;
- 具有多种感觉整合,概念构思的颞叶联络区;
- 负责判断、预见,以及人格属性的前额叶联络区。

除了前额叶区,各部分区,同时包含视觉、听觉,以及躯体感觉联络区
为什么人类的大脑皮层就演化得更加复杂了呢?
- 人类新皮层不仅占大脑皮层的94%,甚至占据了整个大脑的70%以上。
- 新皮层与记忆、学习,甚至意识形成高度相关。
从早期哺乳动物到灵长类,最大的变化,在于生活技巧、运动能力、感官能力的演化。这些综合缘由,促进了大脑联络区的发展,令新皮层折叠出了更多、更深的沟回。只有新增加的新皮层表面积越多,也能支撑复杂的大脑活动。
意识的产生从来不能归因到某个单一的因数,虽然新皮层能很好地解释人类的高级意识,但对于没啥(相对人类来说极少)新皮层的乌鸦来说,研究它们的意识,很明显需要更多的思考其它的因素。
总的来说,从老鼠到人类,意识从1到100的过程,实则是比较清晰的。
只不过从0到1,什么时候发生,怎么发生,可能我们依旧还需要漫长的时间去了解。
但无论怎么样,随着脑科学的不断发展,关于意识,我们已经越来越接近真相。
- PS:虽然目前有许多人诟病,目前的人工智能并非真正的人工智能,但实则,随着人工智能系统变得越来越复杂,虽然它的每一个信息单元都像一条神经通路一样是准确的,但随着神经网络的活动越来越具有不规则性,那么意识的产生也几乎是必然。当前现今的人工智能都还太简单了,未来第一个产生真正高级意识的,也必然是一台超级计算机(甚至是一个超级计算机矩阵)。
参考
- ^量子理论认为. 宏观物体的退相干与量子宇宙的经典约化.
- ^左承承. 彭罗斯对意识的量子力学探索及其心灵哲学意义[D]. 华中师范大学, 2016.
- ^Cleaner wrasse pass the mark test. What are the implications for consciousness and self-awareness testing in animals?
- ^ARE ANTS (HYMENOPTERA, FORMICIDAE) CAPABLE OF SELF RECOGNITION?
- ^Carhart-Harris R L , Leech R , Hellyer P J , et al. The entropic brain: a theory of conscious states informed by neuroimaging research with psychedelic drugs[J]. Frontiers in Human Neuroscience, 2014, 8:20.
- ^Gauvrit N , Zenil H , Soler-Toscano F , et al. Human behavioral complexity peaks at age 25[J]. PLoS Computational Biology, 2017, 13(4):e1005408.
- ^鸟有大脑皮层,那它有意识吗?|斯塔克
- ^PNAS:全脑神经元和神经递质系统的动态耦合|顶刊导读41期
- ^ Pearce J . The “split brain” and Roger Wolcott Sperry (1913–1994)[J]. Revue Neurologique, 2019, 175(4).
- ^天生缺少了胼胝体的儿童:人类大脑的惊人可塑性
- ^美“半脑哥”成网络红人






灵魂
高瞻远瞩云雨风;浩瀚无垠时空观。[虎]
电子计算机就是一堆物质和信息载荷,怎么就成了,人工智能?
所有的1和0没有多的信息。1和0按某种顺序排列,就有了各种信息。
意识是个伪命题,是聚合物的集体反应,只要有10的15到20次方活跃连接点,任何物质都能成为意识,可以是碳基,硅基,甚至星系。本质是生命的升华,而生命是熵耗散的对称面,是时间的另一种体现,万物都有终点,时间有,意识也有,生命终点不是死亡,而是创造新生命,意识亦如是。
意识也不过是粒子间有序的运动。比如,意识存在于神经系统之上,而之下是神经元,神经质,再下是分子和原子
所有像素都是无意义的,组合一起就成了电脑画面
你怎么知道粒子无意识?你是粒子??
生命体中,有序的,粒子的勾连和纠缠,物质及能量、信息……….的交换,产生了意识??
意识是可以独立存在的,是不依靠粒子的,现在的科学还解释不了,即使硬解释也是牵强附会,意识也是不生不灭的,人的肉体死亡,意识不会消失,而是进入了四维空间
还是没解决意识是什么,为什么无机物的堆叠会产生意识?意识的本质是什么?单细胞的微生物为什么也会表现出来应激性?它可没有神经?
有几种可能 :1 粒子有意识,但是数量少的时候无法观测到 2 粒子无意识,意识与大规模群体有关,大规模群体协作就能体现意识和自主性 3 意识与粒子和规模都无关,意识是一种场,可以跟粒子发生相互作用 4 意识存在于DNA中,通过大脑和神经系统体现,通过遗传携带性格偏好,但无法传递记忆
预设条件就有问题——你怎样证明粒子无意识?粒子、意识,究竟是什么,科学家还没弄清楚
意识是什么?非常简单,但却让人难以置信。人类每个人的全部意识是造物主神、上帝创造並输入人脑的。
所有的粒子都是有意识的,只不过是低维度的意识,粒子的不同有机组合形成更高维度的意识。
看似洋洋洒洒,其实逻辑混乱!!!!西方所谓经典物理学永远解释不了意识问题。因为他们把宇宙物质同质化了!!!!宇宙粒子具有不同质量的本质区别!具有有意识形态的高级蛋白粒子,也有非高级蛋白质类的物质粒子。宇宙意识形态是一种广布于宇宙的意识云团现象,它们之间进行着激烈的意识摩擦运动,并与宇宙一切具有脑蛋白物质的生命进行着全息化的沟通,并完全以脑容量大小,决定意识获取智慧的程度的高低。所以,宇宙意识形态物理学应该成为一门专业的分类学科,而不是混为一谈。为什么物理学的最高境界是神学,其根源就在于此。
这就是从分子结构水平研究思维意识的问题。这个问题一旦研究清楚,人造人(真正意义上的机器人)也就不远了。问题是要把这个问题研究清楚,没有三五百年时间不行。
计算能力强就能预估下一刻物体运动轨迹和各种变化。思想是累积的经验,体内产生的各种信号都能侦测,只要数据量大计算分析力强都能预测,个体意识已经注定,只能交流获取经验,突破科技,再用科技作用于个体的升级,提升全体,再突破科技,周而复始。期间只要不遭受灭顶之灾,就能持续发展探索世界!早日飞升!
生命体就是一个化工厂,生命体靠化学物质和生物电操纵身体,可是在一堆化学信号和电信号中,产生了意识,意识就像是在嘈杂的信号中,通过穷举法,自己编出来一系列软件
“意识是通过量子纠缠和量子叠加产生的”